硬化萎缩性苔藓(lichen sclerosis et atrophicus)

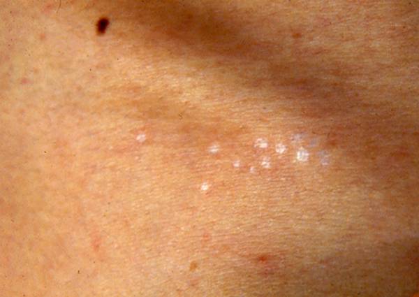
    硬化萎缩性苔藓(lichen sclerosis et atrophicus)为一种以硬化萎缩为特点的苔藓样斑片,呈白色点状排列。   

诊断要点:

1.多见于成年人,也可发于儿童、老年。

2.皮损既可侵犯皮肤,也可侵犯外阴及肛门。

3.皮损初为毛囊性白色角化斑点,呈象牙白色,以后扩大互相融合成象牙白色之角化性斑片。如果发生在外阴及肛门可呈环形或哑铃型排列。经过一段病期后,发生萎缩、变薄,似羊皮纸状。

4.无自觉症状,发生在外阴部损害有瘙痒。

5.组织病理示表皮变薄,基底细胞液化,真皮浅层胶原纤维水肿,均一化。   

治疗要点:

本病无特效疗法,外用皮质类固醇激素软膏2%丙酸睾丸软膏、鱼肝油软膏或乙烯雌软膏、维甲酸软膏等。