麻风(leprosy)

    麻风(leprosy)是由麻风杆菌引起的一种慢性传染病。该菌主要侵犯皮肤、粘膜和周围神经,也可侵犯深部组织和器官,皮肤和鼻粘膜是麻风杆菌进入体内的主要途径。宿主的免疫状态对决定是否发病以及感染的类型方面起主导作用。基于机体的免疫状态可将麻风分为五型和一未定类,为了便于治疗,又进一步将麻风病分为多菌型和少菌型两类。

诊断要点:

1.结核样型(TT)  典型损害是大的红色斑块,边缘清楚,且有时隆起,图6,7,表面干燥有鳞屑,毳毛脱落,闭汗及有明显的浅感觉障碍。周围神经粗大,质硬,不对称。图8示耳大神经肿大,图9示眶上神经肿大。

2.界线类偏结核样型(BT)  皮疹多发,常见皮损有斑疹或斑块,色红或略带淡黄色。边缘境界清楚,可见卫星状损害,周围神经干粗大,硬,较对称。

3.中间界线类麻风(BB)  皮损呈多形性,有斑疹,斑块及结节。

4.界线类偏瘤型(BL)  皮损多,分布广,多形性,有浸润斑,边缘不清,脱屑,周围神经粗大,对称,质软。

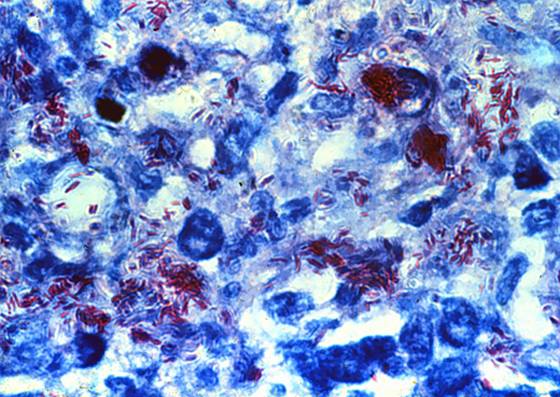
5.瘤型(LL) 皮损广泛,多形性,弥漫性浸润斑,边缘不清,周围神经粗大,对称,软。眉毛、头发脱落,图1-5,肢体活动障碍, 肌肉萎缩,畸形,指趾挛缩,图10,溃疡,图11

6.未定类麻风(I)  浅红或浅色斑,浅感觉轻度障碍。

治疗要点:

对于麻风病的治疗,应采取早期、及时、足量、足程、规则治疗的原则。及时正确处理麻风反应。注意防止耐药性产生,一般采用数种化学药物联合,在达到临床治愈后,应给予巩固治疗,防止复发。WHO推荐的联合化疗方案进行治疗。